審美歯科(見た目を美しくしたい方)
- 銀歯を白いセラミックにしたい
- 古い詰め物・被せ物をキレイにしたい
- 笑ったときの口元が気になる
大人に選ばれる
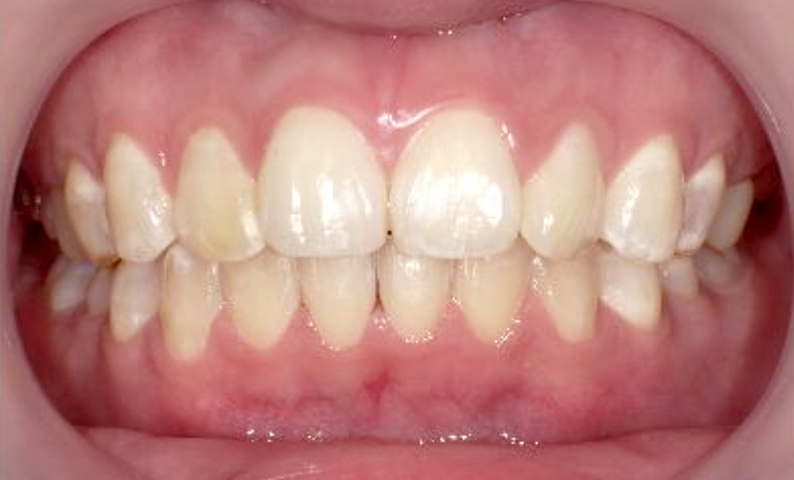
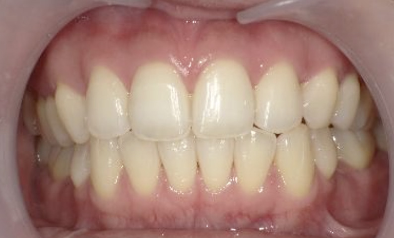
前歯だけの短期部分矯正
最短3ヶ月でキレイな歯並びへ
大人に選ばれる
短期部分矯正
最短3ヶ月で
キレイな歯並びへ
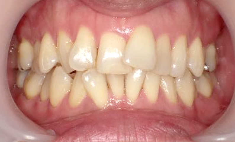
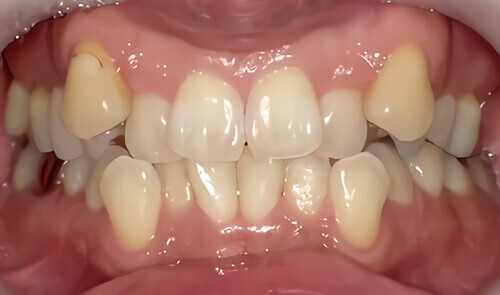
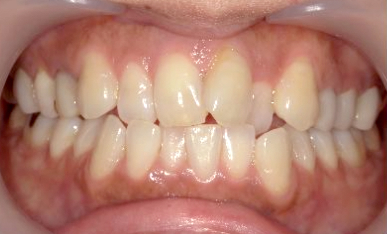
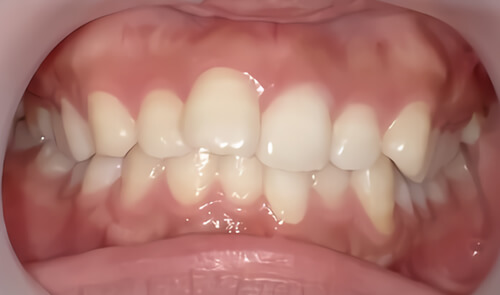
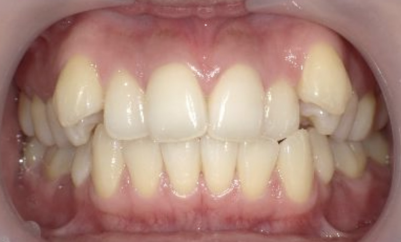
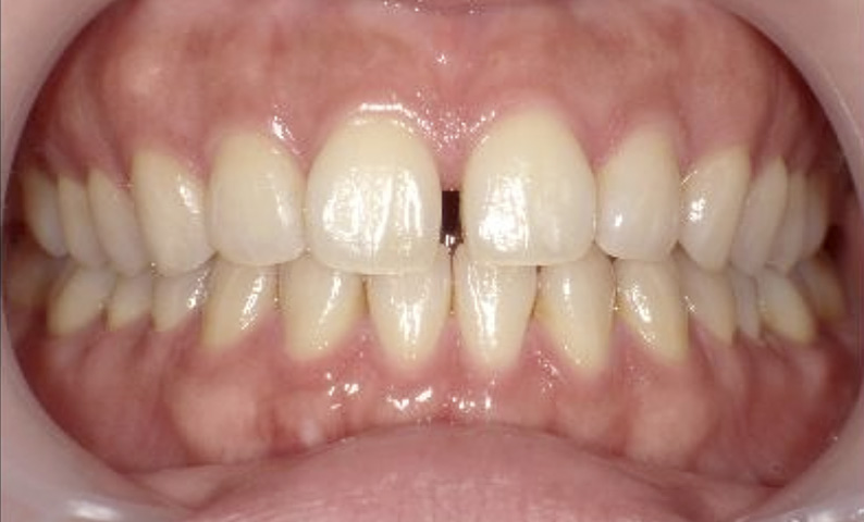
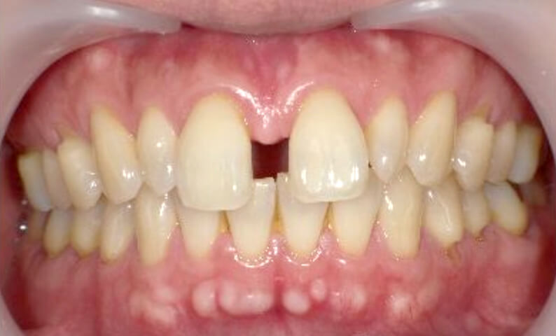
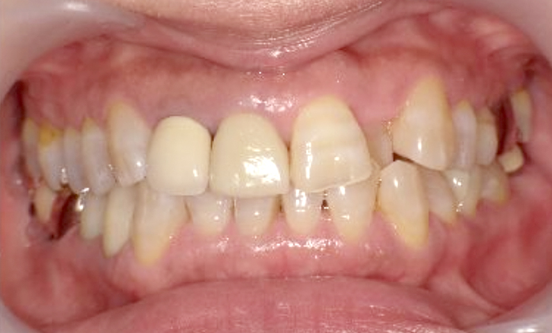
すきっ歯
出っ歯
ガタガタ
※2023年5月~12月に実施した10~60代男女対象の
契約者アンケート(総数100件)で、5段階評価4以上の集計結果
平素より当院をご利用いただき、
誠にありがとうございます。
この度、2026年1月より一部料金を改定させていただくこととなりました。
昨今の原材料費や物流費の高騰により、従来の価格を維持することが難しい状況となっております。
これまでできる限り価格維持に努めてまいりましたが、やむを得ず上記の通り改定させていただきます。
なお、2025年中に初診を受けていただいた方につきましては、
初回カウンセリング後の治療においても、改定前の料金でご案内いたします。
部分矯正をご検討中の方は、価格改定前に一度ご相談いただけますと幸いです。
【過去に受診歴のある方へ】
2026年以降に再検査が必要と判断された場合は、改定後の料金が適用されます。
〜再検査の目安〜
・症状/経過に応じて個別に判断します。
・一般的には、最終来院日から半年以上経過すると再検査の対象となる場合があります。
※ 詳しくは当院までお問い合わせください。
ご負担をおかけいたしますが、今後も安心して通っていただける医院づくりと、
より質の高い治療の提供に努めてまいります。
何卒ご理解のほど、
よろしくお願い申し上げます。
たつや歯科 院長 鈴木達也
OPEN HOURS
| 診療時間 | 月 | 火 | 水 | 木 | 金 | 土 | 日 |
|---|---|---|---|---|---|---|---|
| 09:00〜13:30 15:00〜18:00 | ● | ● | - | - | - | - | - |
| 10:00〜13:30 15:00〜19:30 | - | - | - | ● | ● | - | - |
| 10:00〜15:00 | - | - | - | - | - | ● | ● |
休診日:水曜、祝日
ACCESS
〒170-0001
東京都豊島区西巣鴨2-7-8 ティジィハウス1F
| JR山手線「巣鴨」駅 ............................ 徒歩12分 JR山手線「大塚」駅 ............................ 徒歩10分 都営荒川線「庚申塚」駅 ...................... 徒歩 0分 |
| 治療内容 | 悪い歯並びや噛み合わせを改善する治療 |
|---|---|
| 費用 | 装着する矯正装置1本あたり3万円 (最低6本の歯に矯正装置を装着します) 毎月の装置調整料 0円 歯のクリーニング(通院中) 0円 保定装置 0円 |
| 治療のリスク | 保定装置を正しく使わないと、 歯並びが戻る可能性があります |
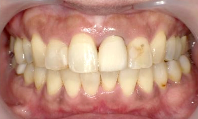
前⻭の噛み合わせを整え、見た目も機能性も向上します。
忙しい方でも、短期間で効果を実感できます。
矯正費用に装置調整費用・保定装置費用が含まれています。
矯正装置は透明のジルコニア・ゴムは半透明の物を使用します。
院内感染を防止し、清潔で安全な環境作りに力を入れています。
治療開始後、先の予約枠を確保して、通院がスムーズに進みます。
そんなお悩みを抱えている方へ
前⻭の悩みを「笑顔」に変える第一歩を、
たつや⻭科で踏み出しませんか?
「短期間で、
あなたの笑顔はもっと輝く」
前⻭の矯正専門クリニックだからこそ、
短期間で理想の⻭並びを実現します。
あなたの笑顔をサポートしますので、
安心してお任せください。
たつや⻭科では、初診料を含む相談と検査を保険3割負担適用で、
約3,500〜4,500円でご提供しています。
検査を通じて、確実な診断結果をお伝えすることができます。
当院では、再矯正やセカンドオピニオンにも対応しています。
部分矯正認定医が、丁寧な検査と正確な診断を行い、
あなたに最適な治療法を提案いたします。
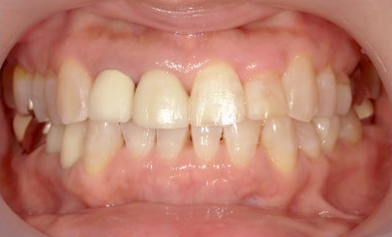
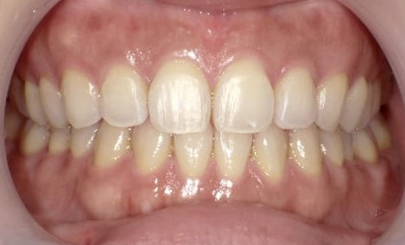
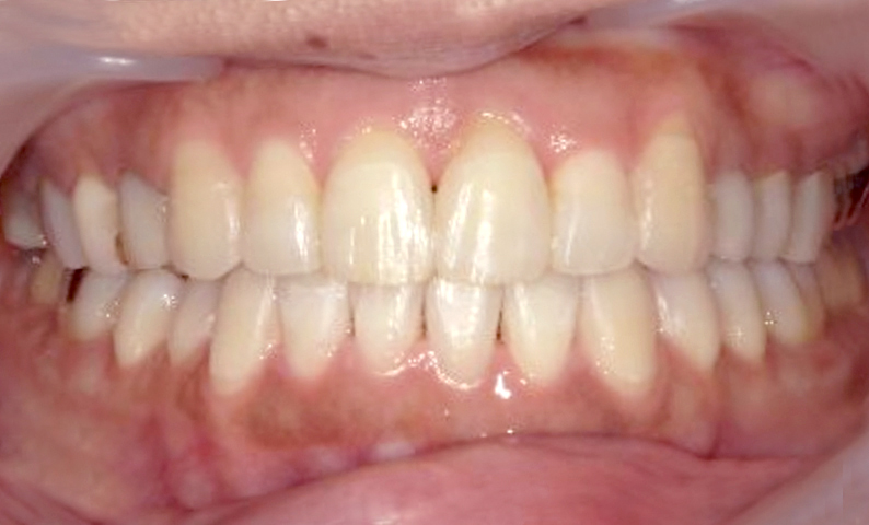
歯並び別の症例
理想的な仕上がりを
追求するため
ワイヤー矯正は、⻭に少しずつ力を加えて、正確に理想的な位置に移動させる方法です。
部分矯正では、短期間で効率よく美しい⻭並びを作れるため、とても効果的です。
マウスピース矯正ではデコボコした⻭並びや噛み合わせの細かな調整が難しく、部分矯正には適しません。そのため、結果的に全額矯正と診断され、時間と費用が増えるケースがほとんどです。
十分な結果が得られず、再矯正を希望されるケースが増えています。安価なマウスピース矯正では、⻭並びの機能面が十分に考慮されないこともあるため、後悔しないためにも慎重に選ぶことが大切です。
マウスピース矯正は、患者さんご自身で取り外しができるため、装着時間の管理が重要となります。そのため、装着を忘れてしまうことがあり、計画通りに進まない場合がございます。
通常、全体矯正では2年以上かかるところを、部分矯正なら短期間で効率よく⻭並びを整えます。スムーズに通院できるシステムを導入し、忙しいライフスタイルにも合わせて通院可能です。
見た目だけでなく、噛み合わせも大切です。当院では、前⻭でしっかり噛める機能的な治療を行い、噛み合わせの改善も同時に進めます。日常生活の中で快適に噛むことができるようになります。
前⻭の美しい仕上がりにこだわり、理想的な⻭並びを実現します。経験豊富なドクターが、診断から治療まで丁寧に対応し、あなたの笑顔をサポートします。大人のための部分矯正で、⻑年のコンプレックスを解消しましょう。
当院は、大人のための部分矯正に特化した専門クリニックです。担当するドクターは、部分矯正認定医として8,000件以上の治療実績を持ち、噛み合わせの機能面と仕上がりの美しさを両立させる治療を行っています。前⻭だけの矯正に特化することで、最短期間での治療が可能。自然で美しい⻭並びと、健康的な噛み合わせを実現します。経験豊富なドクターが、一人ひとりに合わせた最適な治療を提供し、あなたの笑顔をサポートします。
部分矯正認定医 / 院⻑

初診時は問診表の記入、患者さんの登録などございますので、10〜15分程度お早めにご来院くださいませ。ご来院いただきましたら、受診の手続きを行っていただきます。
| ◆ カウンセリング ◆ レントゲン ◆ 虫歯・歯周病の検査 |
◆ 歯のクリーニング ◆ 模型の型取り |
検査結果をもとに、治療費用・治療期間など丁寧にご説明いたします。少しでもご不明な点がございましたら、お気軽にご相談ください。
当院では患者さんへ丁寧な治療説明を行い、治療内容にご納得頂いたうえで部分矯正治療を開始いたします。
矯正期間中は3〜4週間に1度、装置調整のため医院へお越しいただきます。
| ◆ 治療経過の確認 ◆ 矯正装置の微調整 |
◆ 歯のクリーニング |
※ 先に虫歯治療、親知らずの抜歯(抜く必要がある人のみ)が必要な場合は、治療が完了してから矯正治療を開始します。
矯正終了後も定期的なメインテナンスを行うことで、後戻り・虫歯・歯周病の予防をおこないます。生涯患者さんご自身の歯で生活いただけるようサポートいたします。
歯列矯正をした直後は、まだ歯が固定しておらず、治療前の状態へと後戻りしやすいため、矯正治療後は「保定装置:リテーナー」をご使用いただきます。
前歯だけをきれいに整えたい方には、実はワイヤー矯正のほうが向いている場合が多いです。
出っ歯(突き出した前歯)でも“軽度”であれば部分矯正で治せる可能性があります。
前歯のすきっ歯(歯の隙間)を治療する最も一般的な方法は、矯正治療です。
部分矯正治療では治すことが難しい症例ケースをいくつかご紹介します。
ここ最近、後戻りによる「歯列矯正の再治療」を希望される方が増えてきています。
後戻り症状は、放置すると悪化の傾向があるため、早期治療開始が重要です。
矯正治療方法ごとの一般的な費用相場をわかりやすく解説いたします。
部分矯正が10万円で受けられるという情報がありますが、注意が必要です。
歯列矯正は、永久歯が生え変わっていれば年齢に関係なく治療が可能です。
歯の矯正には部分矯正や全顎矯正など、さまざまな種類があり、費用も異なります。
どの治療においてもメリットとデメリットを理解した上で治療を選ぶことが大切です。
リテーナーとは、矯正治療後に歯並びを安定させるための装置です。
一般的な歯列矯正の支払い方法や分割払いの種類について詳しくご紹介しています。
治療に関する事等なんでもお気軽にご相談ください。セルフケアグッズも充実しております。
当院の待合室では患者さんにリラックスしていただけるように、ゆったりしたスペースをご用意しております。
たつや歯科では、受付から目が届く位置にあるキッズルームを完備しております。
心臓外科、脳外科の手術で使うのと同様な、手術用の顕微鏡です。より細かく見えることで、より精密に緻密な治療を目指すことができます。
CTスキャンの導入によって、従来のレントゲンでは撮影できなかった「立体画像」の撮影が可能になりました。
たつや歯科のオペ室はプライバシーも安心の完全個室になります。