
「出っ歯」
部分矯正の症例集
※本ページに掲載している治療費は、
各症例の治療当時の料金を記載しております。
気になる前歯を数ヶ月で美しく
1本3.5万円で始められる
「たつや歯科の部分矯正」
- 前歯の歯並びだけが気になる
- 気になる前歯だけ矯正治療したい
そんなお悩みに応えるのが、
東京都豊島区「たつや歯科」です。
| 料金 | 矯正装置1本あたり3.5万円+税 (調整料/保定装置料込) |
|---|
※部分矯正は“最低6本の歯”に矯正装置を付けます。
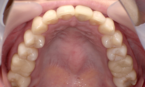
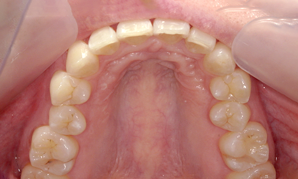
症例:上顎だけの部分矯正
症例_012 「出っ歯」症例
治療期間:8ヶ月金額:30万円+税20代女性出っ歯上の前歯だけ
| Before | After |
|---|---|
|
|
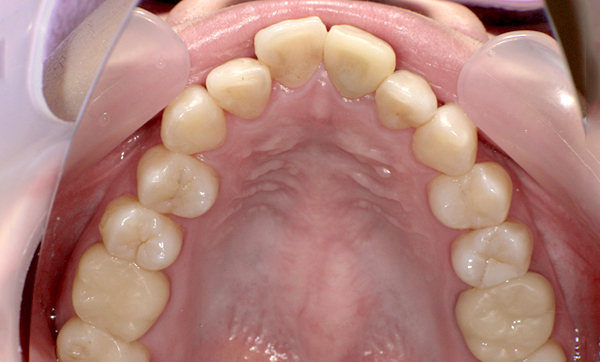
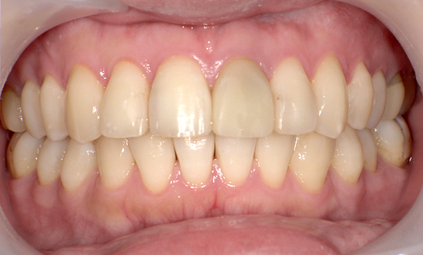
症例_011 「出っ歯」症例
治療期間:7ヶ月金額:30万円+税20代女性出っ歯捻転歯上の前歯だけ
| Before | After |
|---|---|
|
|
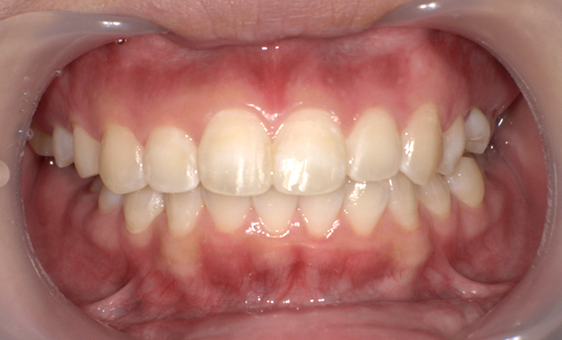
症例_010 「出っ歯」症例
治療期間:7ヶ月金額:30万円+税20代女性出っ歯捻転歯上の前歯だけ
| Before | After |
|---|---|
|
|
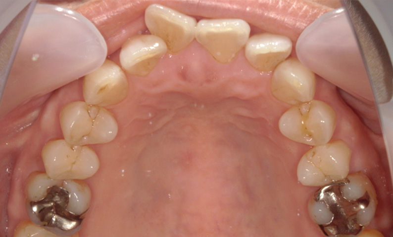
症例_009 「出っ歯」症例
治療期間:9ヶ月金額:30万円+税30代女性出っ歯捻転歯上の前歯だけ
| Before | After |
|---|---|
|
|
症例_008 「出っ歯」症例
治療期間:9ヶ月金額:30万円+税20代女性出っ歯上の前歯だけ
| Before | After |
|---|---|
|
|
症例_007 「出っ歯」症例
治療期間:5ヶ月金額:24万円+税10代男性出っ歯すきっ歯上の前歯だけ
| Before | After |
|---|---|
|
|
症例_006 「出っ歯」症例
治療期間:8ヶ月金額:30万円+税20代女性出っ歯捻転歯上の前歯だけ
| Before | After |
|---|---|
|
|
症例_005 「出っ歯」症例
治療期間:7ヶ月金額:30万円+税30代女性出っ歯捻転歯上の前歯だけ
| Before | After |
|---|---|
|
|
症例_004 「出っ歯」症例
治療期間:11ヶ月金額:30万円+税50代女性出っ歯八重歯上の前歯だけ
| Before | After |
|---|---|
|
|
症例_003 「出っ歯」症例
治療期間:7ヶ月金額:30万円+税20代女性出っ歯上の前歯だけ
| Before | After |
|---|---|
|
|
症例_002 「出っ歯」症例
治療期間:8ヶ月金額:24万円+税10代女性(18才以上)出っ歯上の前歯だけ
| Before | After |
|---|---|
|
|
症例_001 「出っ歯」症例
治療期間:7ヶ月金額:30万円+税30代女性出っ歯上の前歯だけ
| Before | After |
|---|---|
|
|
症例:上下顎の部分矯正
症例_007 「出っ歯」症例
治療期間:9ヶ月金額:54万円+税60代女性出っ歯捻転歯
| Before | After |
|---|---|
|
|
症例_006 「出っ歯」症例
治療期間:1年2ヶ月金額:54万円+税40代女性出っ歯捻転歯
| Before | After |
|---|---|
|
|
症例_005 「出っ歯」症例
治療期間:12ヶ月金額:54万円+税20代女性出っ歯八重歯捻転歯
| Before | After |
|---|---|
|
|
症例_004 「出っ歯」症例
治療期間:8ヶ月金額:54万円+税20代女性出っ歯八重歯捻転歯
| Before | After |
|---|---|
|
|
症例_003 「出っ歯」症例
治療期間:12ヶ月金額:54万円+税20代女性出っ歯八重歯捻転歯
| Before | After |
|---|---|
|
|
症例_002 「出っ歯」症例
治療期間:14ヶ月金額:48万円+税20代女性出っ歯捻転歯
| Before | After |
|---|---|
|
|
症例_001 「出っ歯」症例
治療期間:13ヶ月金額:54万円+税20代女性出っ歯捻転歯
| Before | After |
|---|---|
|
|
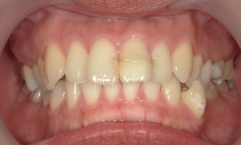
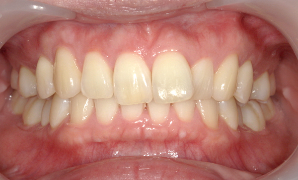
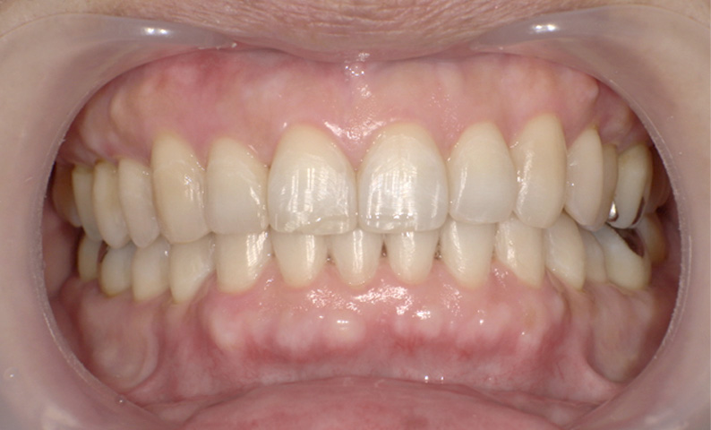
前歯の「出っ歯」と矯正治療
前歯、上顎の歯全体が前方に突出している状態を一般的に「出っ歯」といいます。
「出っ歯」は、見た目の悩みだけでなく、身体のバランスや肩こり、頭痛を引き起こし、身体に負担をかけることがあります。
出っ歯の矯正には歯列矯正が一般的です。
歯科医師と相談して、歯の状態や見た目、治療費などを考慮して、最適な方法を見つけましょう。
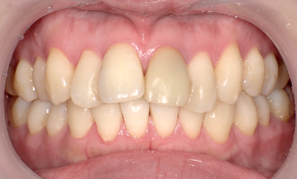
| 治療前 | 治療後 |
|---|---|
|
|
| 治療前 | 治療後 |
|---|---|
|
|
こんな症状に悩んでいませんか?
- 出っ歯が気になって、人前で笑うのが億劫
- 出っ歯って言われてショックを受けた
- 口を閉じても前歯の隙間で口が乾く
- 話すときに滑舌が気になる
「軽度の出っ歯」を
部分矯正で治しませんか?
よくいただく質問の中で、
「私の出っ歯も部分矯正で治せますか?」
というものがありますが、
たつや歯科では
- 「出っ歯でも“軽度”であれば
部分矯正で治せる可能性があります。」
とお答えしています。
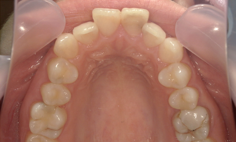
部分矯正の適応範囲は犬歯~犬歯
(図:赤い歯)
「軽度」の条件に当てはまる場合に、出っ歯の部分矯正が適応になる可能性が高いです。ですが、この条件はあくまでも目安になります。
当院の精密検査は
保険適用で3,500〜4,000円程度
一言で出っ歯・歯の凸凹と言っても、患者さんの口腔内状況は一人ひとり異なるため、実施に部分矯正で対応可能or不可能は各種検査を行ったうえで診断をいたします。
そのため、精密検査の診断によっては部分矯正ではなく、全顎矯正をおすすめするケースもございます。
当院では無料相談は行っていませんが、精密な検査を通じて、部分矯正が適しているかどうか、治療の見積もりや期間などを正確に診断できます。
部分矯正のたつや歯科では、患者さん一人ひとりに合わせた治療プランをご提案いたします。
出っ歯のお悩みは、実績豊富な当院までお気軽にご相談ください!
「出っ歯」を部分矯正で治す!
歯は第一印象にとても重要なパーツです。
そして口元の前歯は特に目立つため、
出っ歯を治すことで笑顔がより美しくなります。
「部分矯正」とは、歯列矯正の一種で、限られた数の歯や歯列に対してのみ矯正を行う治療法です。気になる前歯だけなど、歯並びに問題がある箇所や、歯並びが口腔内の健康に影響を与えている箇所のみに矯正装置を取り付けます。
部分矯正は症状に応じて治療を行うため、全顎矯正が不要の場合に適しており、治療期間は短く、治療費用も全顎矯正と比べると安く抑えられるため、患者さんの気持ちに寄り添った人気の治療法となっています。
出っ歯の治療方法
矯正治療
or
外科治療(オペ)
| 歯列矯正 | 一般的に矯正装置(ブラケット)とワイヤーを歯に装着し乱れた歯並び・噛み合わせを整えます。 矯正治療後は保定装置を正しく使用することで歯並びを永久的にキープすることができます。 |
|---|---|
| 外科治療(オペ) | 外科手術で出っ歯を治療する場合、主にセットバックと呼ばれる治療が行われます。※当院では対応しておりません。 セットバックは、出っ歯や受け口を改善する外科手術の一つで、顎の一部を切って後ろに移動させることで、口元の突出感を軽減する方法です。なお、全身麻酔が必要なため、持病がある方や心臓の血管が細い方などには、セットバックができないことがあります。 |
出っ歯を治す最も一般的な方法は、
矯正治療です。
矯正治療で改善できる症例には
適応範囲がありますが、
まずは詳しい検査を受けて
治療の可能性を検討してみることを
おすすめいたします。
「軽度の出っ歯」を治療できる範囲
出っ歯を部分矯正で治療できる場合は、
通常、その程度が軽いとされます。
この「軽度」の具体的な例には、
以下のような状況が考えられます。
- 噛み合わせが正常である
- 歯並びの乱れが主に
歯の配置に起因しており、
骨格の問題がない - 歯同士が重なり合っている領域が少ない
症例一覧
症例_016
治療リスク:後戻りの可能性
症例_015
治療リスク:後戻りの可能性
症例_014
治療リスク:後戻りの可能性
症例_013
治療リスク:後戻りの可能性
症例_012
治療リスク:後戻りの可能性
症例_011
治療リスク:後戻りの可能性
症例_010
治療リスク:後戻りの可能性
症例_009
治療リスク:後戻りの可能性
症例_008
治療リスク:後戻りの可能性
症例_007
治療リスク:後戻りの可能性
症例_006
治療リスク:後戻りの可能性
症例_005
治療リスク:後戻りの可能性
症例_004
治療リスク:後戻りの可能性
症例_003
治療リスク:後戻りの可能性
症例_002
治療リスク:後戻りの可能性
症例_001
治療リスク:後戻りの可能性
“大人に選ばれる”
前歯だけの短期部分矯正
最短3ヶ月でキレイな歯並びへ
いつまでも続く
美しい口元と
輝ける笑顔
すきっ歯・出っ歯・八重歯
前歯のガタガタにお悩みの方へ
【たつや歯科】東京都豊島区|前歯だけの部分矯正専門クリニック。治療実績8,000件以上の部分矯正認定医が、すきっ歯・出っ歯・八重歯・ガタガタを最短3ヶ月で整えます。高度な技術で短期間に理想の歯並びを実現。痛みが少なく、通院回数も少ないので大人の方に選ばれています。
部分矯正を検討中の方は、実績豊富な当院にお任せください。
- 矯正装置1本3.5万円
- 通院毎の調整料0円
- 院内分割:手数料0円
- 目立たないワイヤー矯正
【2回目以降のご予約について】
当院では、2回目以降のご予約専用ダイヤルを
ご用意しております ▼
お電話が繋がらない場合はこちら ▼



