

「上の前歯だけ」
部分矯正の症例集

気になる前歯を数ヶ月で美しく
1本3万円で始められる
「たつや歯科の部分矯正」

- 前歯の歯並びだけが気になる
- 気になる前歯だけ矯正治療したい
そんなお悩みに応えるのが、
東京都豊島区「たつや歯科」です。
料金 | 矯正装置1本あたり3万円+税 (調整料/保定装置料込) |
---|
※部分矯正は“最低6本の歯”に矯正装置を付けます。
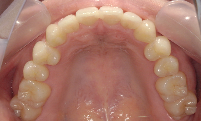
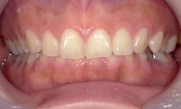
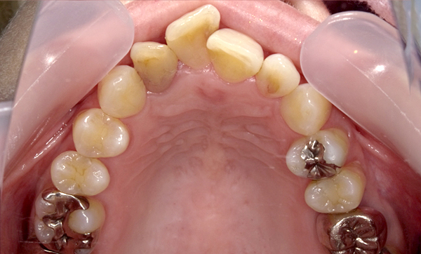
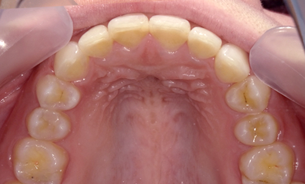
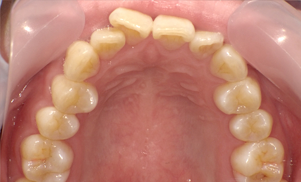
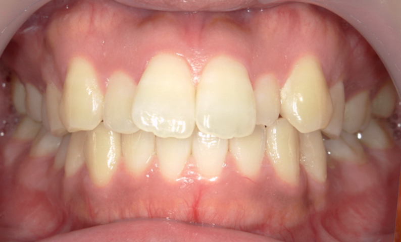
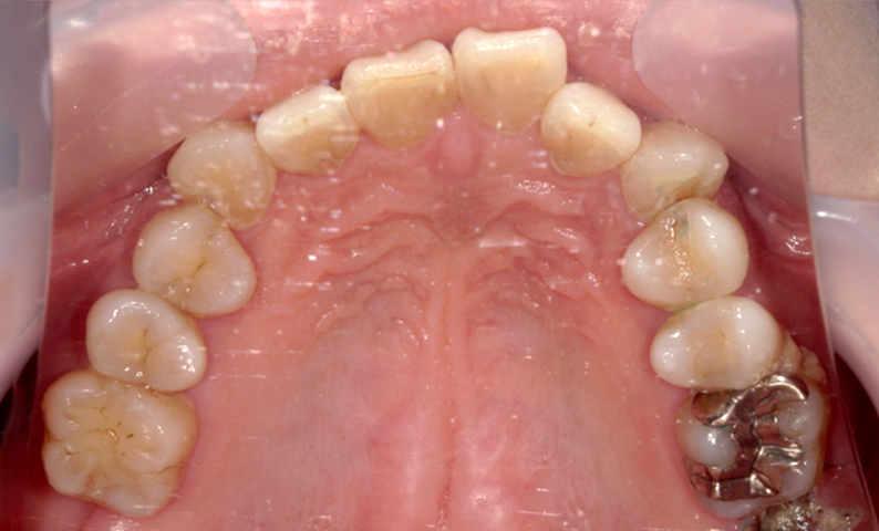
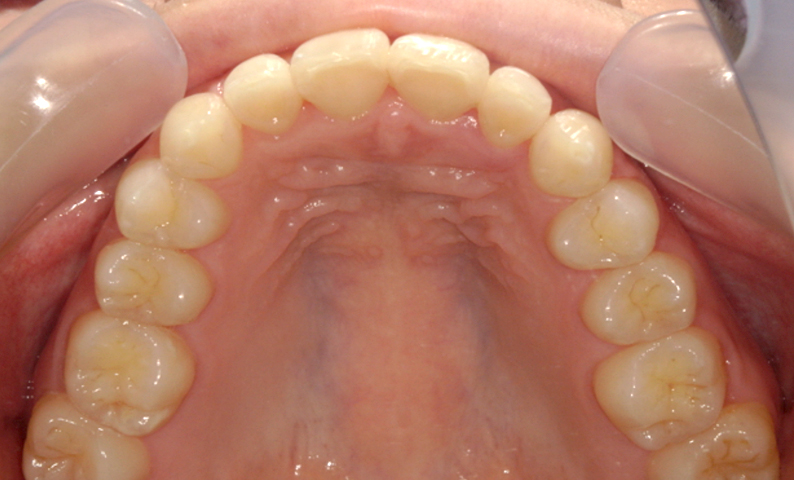
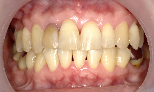
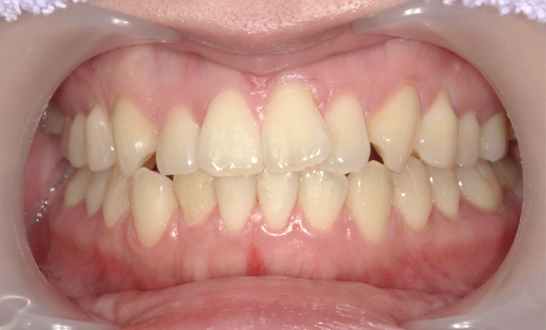
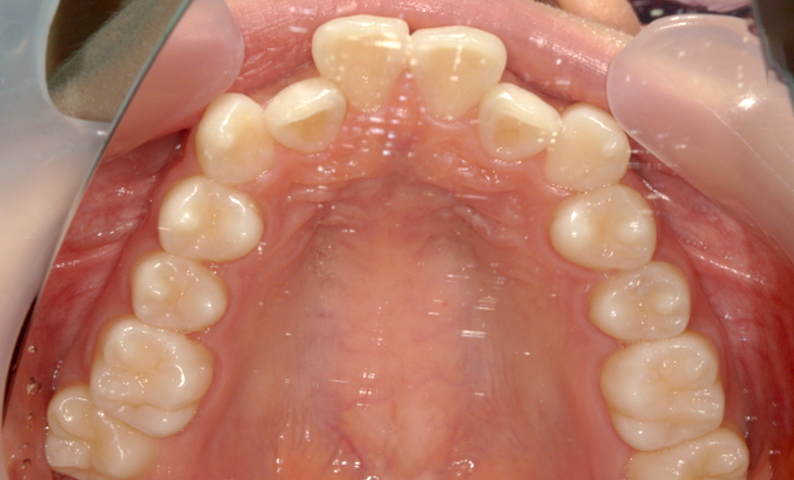
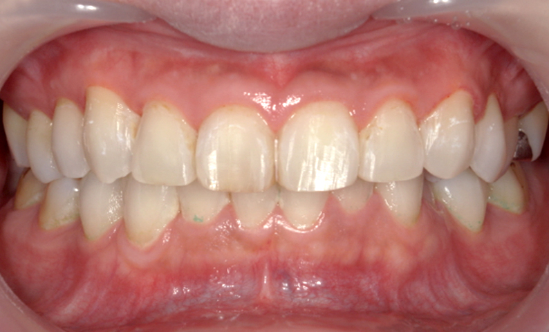
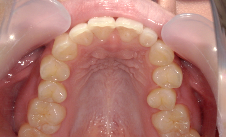
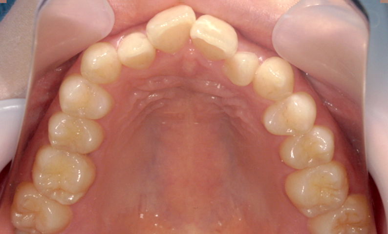
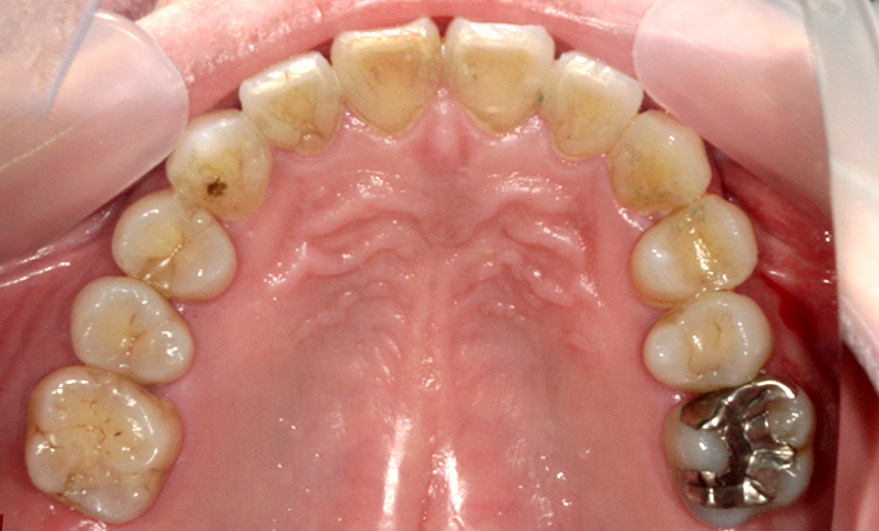
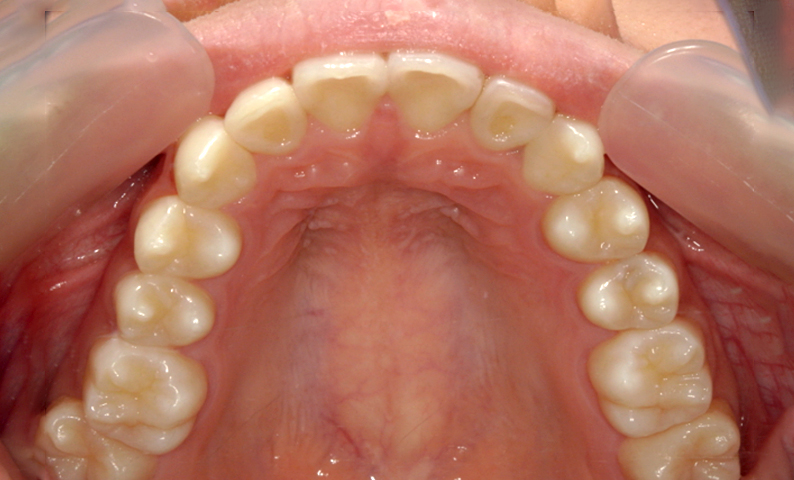
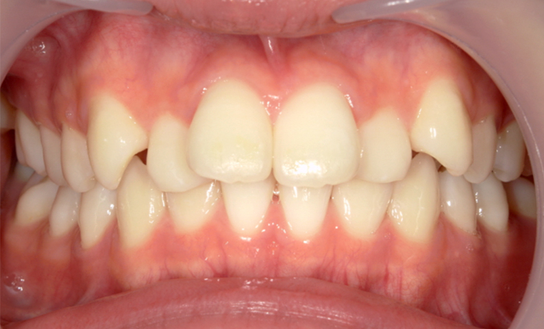
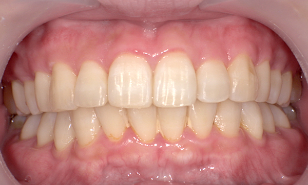
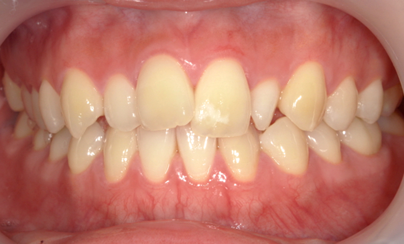
症例:上顎だけの部分矯正
症例_012 「上の前歯だけ」症例
治療期間:6ヶ月金額:30万円+税10代女性八重歯出っ歯
Before | After |
---|---|
![]() ![]() |
![]() ![]() |
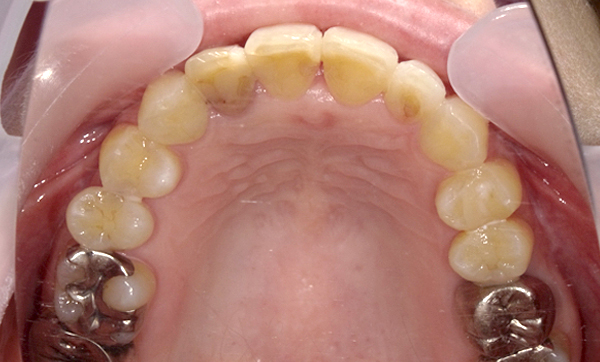
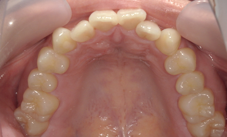
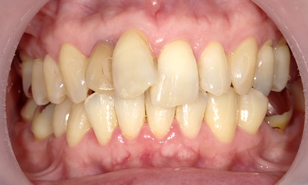
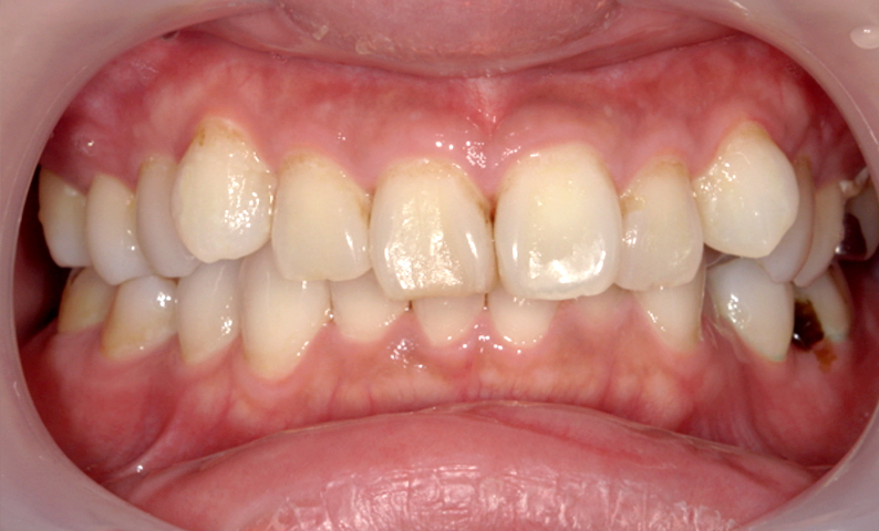
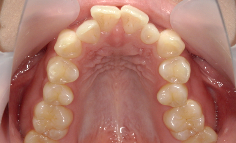
症例_011 「上の前歯だけ」症例
治療期間:9ヶ月金額:30万円+税30代女性八重歯前歯のガタガタ
Before | After |
---|---|
![]() ![]() |
![]() ![]() |
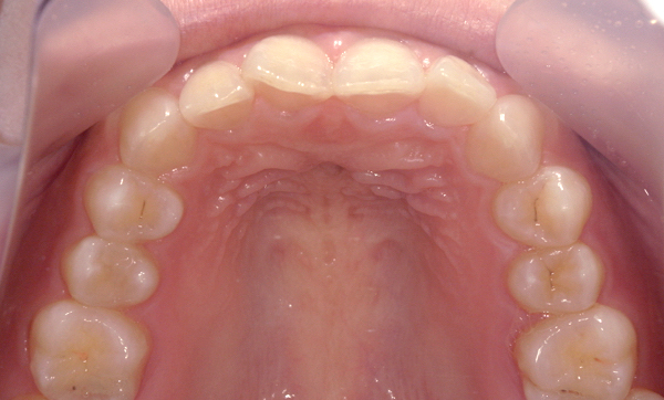
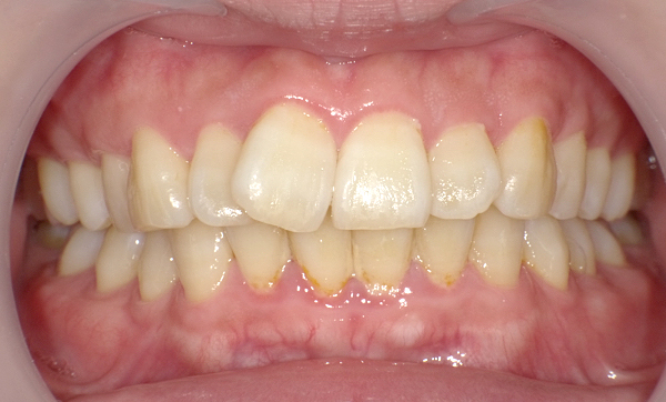
症例_010 「上の前歯だけ」症例
治療期間:9ヶ月金額:30万円+税20代女性出っ歯捻転歯
Before | After |
---|---|
![]() ![]() |
![]() ![]() |
症例_009 「上の前歯だけ」症例
治療期間:6ヶ月金額:24万円+税20代女性すきっ歯八の字/V字型
Before | After |
---|---|
![]() ![]() |
![]() ![]() |
症例_008 「上の前歯だけ」症例
治療期間:6ヶ月金額:24万円+税20代男性前歯1本だけ一部の反対咬合
Before | After |
---|---|
![]() ![]() |
![]() ![]() |
症例_007 「上の前歯だけ」症例
治療期間:7ヶ月金額:30万円+税20代女性八重歯出っ歯捻転歯
Before | After |
---|---|
![]() ![]() |
![]() ![]() |
症例_006 「上の前歯だけ」症例
治療期間:7ヶ月金額:30万円+税20代女性八重歯出っ歯歯の形態修正
Before | After |
---|---|
![]() ![]() |
![]() ![]() |
症例_005 「上の前歯だけ」症例
治療期間:9ヶ月金額:30万円+税20代女性八重歯前歯のガタガタ
Before | After |
---|---|
![]() ![]() |
![]() ![]() |
症例_004 「上の前歯だけ」症例
治療期間:8ヶ月金額:30万円+税20代女性八重歯捻転歯
Before | After |
---|---|
![]() ![]() |
![]() ![]() |
症例_003 「上の前歯だけ」症例
治療期間:6ヶ月金額:27万円+税20代女性前歯一本だけ部分的な反対咬合
Before | After |
---|---|
![]() ![]() |
![]() ![]() |
症例_002 「上の前歯だけ」症例
治療期間:9ヶ月金額:30万円+税20代女性前歯一本だけ部分的な反対咬合
Before | After |
---|---|
![]() ![]() |
![]() ![]() |
症例_001 「上の前歯だけ」症例
治療期間:9ヶ月金額:30万円+税30代女性八重歯叢生前歯のガタガタ
Before | After |
---|---|
![]() ![]() |
![]() ![]() |
症例一覧
症例_032

治療リスク:後戻りの可能性
症例_031

治療リスク:後戻りの可能性
症例_030

治療リスク:後戻りの可能性
症例_029

治療リスク:後戻りの可能性
症例_028

治療リスク:後戻りの可能性
症例_027

治療リスク:後戻りの可能性
症例_026

治療リスク:後戻りの可能性
症例_025

治療リスク:後戻りの可能性
症例_024

治療リスク:後戻りの可能性
症例_023

治療リスク:後戻りの可能性
症例_022

治療リスク:後戻りの可能性
症例_021

治療リスク:後戻りの可能性
症例_020

治療リスク:後戻りの可能性
症例_019

治療リスク:後戻りの可能性
症例_018

治療リスク:後戻りの可能性
症例_017

治療リスク:後戻りの可能性
症例_016

治療リスク:後戻りの可能性
症例_015

治療リスク:後戻りの可能性
症例_014

治療リスク:後戻りの可能性
症例_013

治療リスク:後戻りの可能性
症例_012

治療リスク:後戻りの可能性
症例_011

治療リスク:後戻りの可能性
症例_010

治療リスク:後戻りの可能性
症例_009

治療リスク:後戻りの可能性
症例_008

治療リスク:後戻りの可能性
症例_007

治療リスク:後戻りの可能性
症例_006

治療リスク:後戻りの可能性
症例_005

治療リスク:後戻りの可能性
症例_004

治療リスク:後戻りの可能性
症例_003

治療リスク:後戻りの可能性
症例_002

治療リスク:後戻りの可能性
症例_001

治療リスク:後戻りの可能性
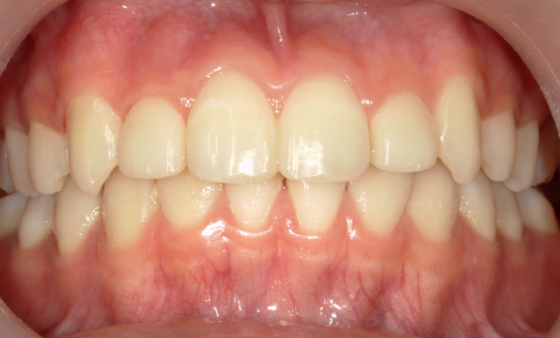
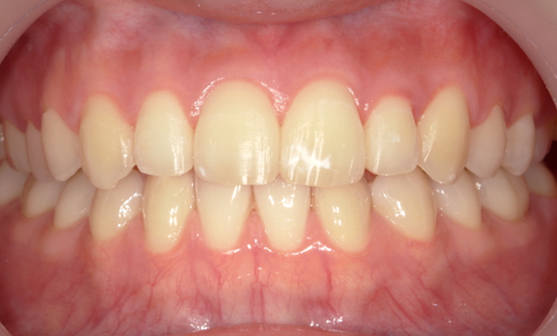
“大人に選ばれる”
前歯だけの短期部分矯正
最短3ヶ月でキレイな歯並びへ
いつまでも続く
美しい口元と
輝ける笑顔


すきっ歯・出っ歯・八重歯
前歯のガタガタにお悩みの方へ
【たつや歯科】東京都豊島区|前歯だけの部分矯正専門クリニック。治療実績8,000件以上の部分矯正認定医が、すきっ歯・出っ歯・八重歯・ガタガタを最短3ヶ月で整えます。高度な技術で短期間に理想の歯並びを実現。痛みが少なく、通院回数も少ないので大人の方に選ばれています。
部分矯正を検討中の方は、実績豊富な当院にお任せください。
- 矯正装置1本3万円
- 通院毎の調整料0円
- 院内分割:手数料0円
- 目立たないワイヤー矯正
【2回目以降のご予約について】
当院では、2回目以降のご予約専用ダイヤルを
ご用意しております ▼
お電話が繋がらない場合はこちら ▼