
前歯の「八の字/V字型」
部分矯正の症例集
※本ページに掲載している治療費は、
各症例の治療当時の料金を記載しております。
気になる前歯を数ヶ月で美しく
1本3.5万円で始められる
「たつや歯科の部分矯正」
- 前歯の歯並びだけが気になる
- 気になる前歯だけ矯正治療したい
そんなお悩みに応えるのが、
東京都豊島区「たつや歯科」です。
| 料金 | 矯正装置1本あたり3.5万円+税 (調整料/保定装置料込) |
|---|
※部分矯正は“最低6本の歯”に矯正装置を付けます。
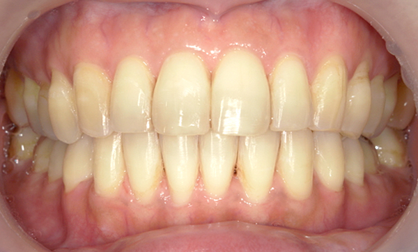
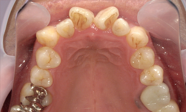
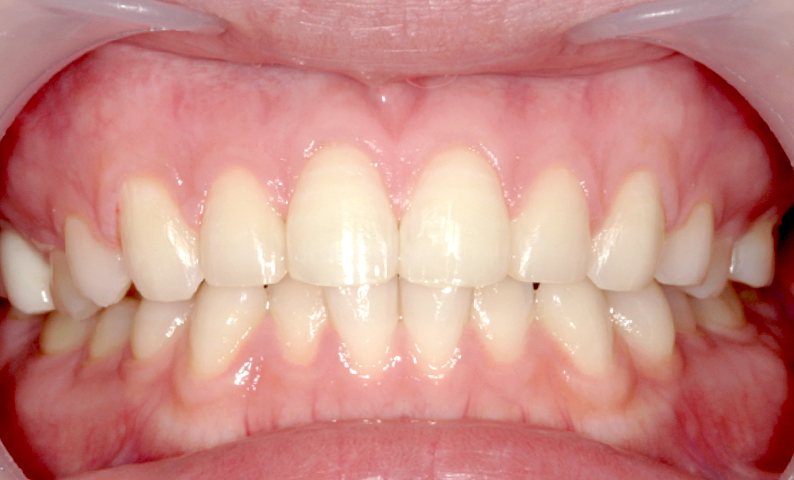
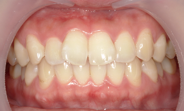
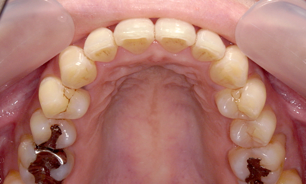
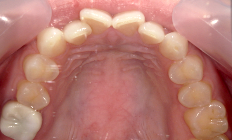
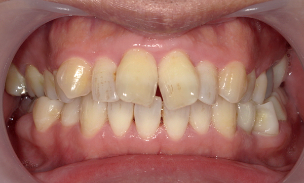
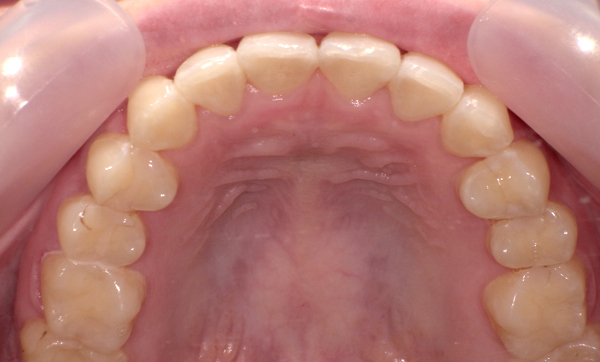
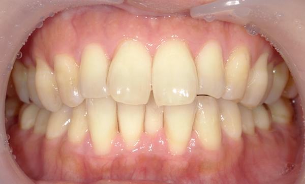
症例:上顎だけの部分矯正
症例_013 前歯「八の字/V字型」症例
治療期間:8ヶ月金額:30万円+税20代女性八の字/V字型捻転歯上の前歯だけ
| Before | After |
|---|---|
|
|
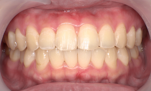
症例_012 前歯「八の字/V字型」症例
治療期間:7ヶ月金額:24万円+税20代男性八の字/V字型捻転歯上の前歯だけ
| Before | After |
|---|---|
|
|
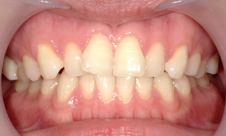
症例_011 前歯「八の字/V字型」症例
治療期間:9ヶ月金額:30万円+税30代女性八の字/V字型捻転歯上の前歯だけ
| Before | After |
|---|---|
|
|
症例_010 前歯「八の字/V字型」症例
治療期間:1年1ヶ月金額:30万円+税30代男性八の字/V字型捻転歯上の前歯だけ
| Before | After |
|---|---|
|
|
症例_009 前歯「八の字/V字型」症例
治療期間:12ヶ月金額:30万円+税40代女性八の字/V字型出っ歯上の前歯だけ
| Before | After |
|---|---|
|
|
症例_008 前歯「八の字/V字型」症例
治療期間:8ヶ月金額:30万円+税30代女性八の字/V字型出っ歯上の前歯だけ
| Before | After |
|---|---|
|
|
症例_007 前歯「八の字/V字型」症例
治療期間:11ヶ月金額:30万円+税30代女性八の字/V字型出っ歯上の前歯だけ
| Before | After |
|---|---|
|
|
症例_006 前歯「八の字/V字型」症例
治療期間:8ヶ月金額:30万円+税30代女性八の字/V字型出っ歯上の前歯だけ
| Before | After |
|---|---|
|
|
症例_005 前歯「八の字/V字型」症例
治療期間:9ヶ月金額:30万円+税20代女性八の字/V字型出っ歯上の前歯だけ
| Before | After |
|---|---|
|
|
症例_004 前歯「八の字/V字型」症例
治療期間:7ヶ月金額:30万円+税20代女性八の字/V字型上の前歯だけ
| Before | After |
|---|---|
|
|
症例_003 前歯「八の字/V字型」症例
治療期間:8ヶ月金額:30万円+税30代女性八の字/V字型上の前歯だけ
| Before | After |
|---|---|
|
|
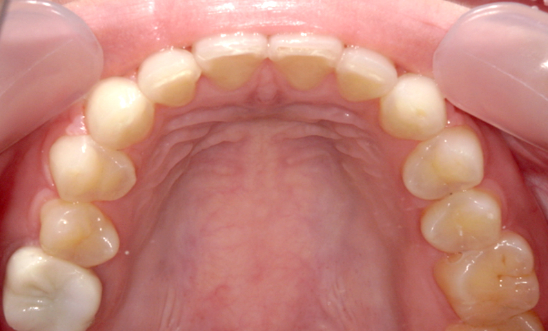
症例_002 前歯「八の字/V字型」症例
治療期間:8ヶ月金額:30万円+税20代女性八の字/V字型上の前歯だけ
| Before | After |
|---|---|
|
|
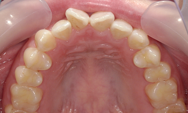
症例_001 前歯「八の字/V字型」症例
治療期間:9ヶ月金額:30万円+税30代女性八の字/V字型上の前歯だけ
| Before | After |
|---|---|
|
|
症例:上下顎の部分矯正
症例_009 前歯「八の字/V字型」症例
治療期間:11ヶ月金額:60万円+税40代女性八の字/V字型前歯のガタガタ捻転歯
| Before | After |
|---|---|
|
|
症例_008 前歯「八の字/V字型」症例
治療期間:8ヶ月金額:54万円+税30代女性八の字/V字型前歯のガタガタ捻転歯
| Before | After |
|---|---|
|
|
症例_007 前歯「八の字/V字型」症例
治療期間:11ヶ月金額:54万円+税10代女性八の字/V字型前歯のガタガタ捻転歯
| Before | After |
|---|---|
|
|
症例_006 前歯「八の字/V字型」症例
治療期間:17ヶ月金額:54万円+税30代女性八の字/V字型前歯のガタガタ捻転歯
| Before | After |
|---|---|
|
|
症例_005 前歯「八の字/V字型」症例
治療期間:9ヶ月金額:54万円+税20代女性八の字/V字型前歯のガタガタ八重歯
| Before | After |
|---|---|
|
|
症例_004 前歯「八の字/V字型」症例
治療期間:9ヶ月金額:51万円+税30代女性八の字/V字型前歯のガタガタ捻転歯
| Before | After |
|---|---|
|
|
症例_003 前歯「八の字/V字型」症例
治療期間:1年5ヶ月金額:54万円+税20代女性八の字/V字型
| Before | After |
|---|---|
|
|
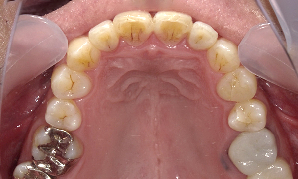
症例_002 前歯「八の字/V字型」症例
治療期間:9ヶ月金額:51万円+税30代男性八の字/V字型
| Before | After |
|---|---|
|
|
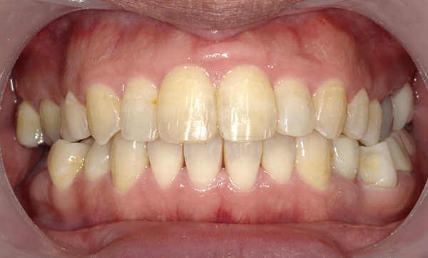
症例_001 前歯「八の字/V字型」症例
治療期間:17ヶ月金額:54万円+税20代女性八の字/V字型
| Before | After |
|---|---|
|
|
症例一覧
症例_018
治療リスク:後戻りの可能性
症例_017
治療リスク:後戻りの可能性
症例_016
治療リスク:後戻りの可能性
症例_015
治療リスク:後戻りの可能性
症例_014
治療リスク:後戻りの可能性
症例_013
治療リスク:後戻りの可能性
症例_012
治療リスク:後戻りの可能性
症例_011
治療リスク:後戻りの可能性
症例_010
治療リスク:後戻りの可能性
症例_009
治療リスク:後戻りの可能性
症例_008
治療リスク:後戻りの可能性
症例_007
治療リスク:後戻りの可能性
症例_006
治療リスク:後戻りの可能性
症例_005
治療リスク:後戻りの可能性
症例_004
治療リスク:後戻りの可能性
症例_003
治療リスク:後戻りの可能性
症例_002
治療リスク:後戻りの可能性
症例_001
治療リスク:後戻りの可能性
“大人に選ばれる”
前歯だけの短期部分矯正
最短3ヶ月でキレイな歯並びへ
いつまでも続く
美しい口元と
輝ける笑顔
すきっ歯・出っ歯・八重歯
前歯のガタガタにお悩みの方へ
【たつや歯科】東京都豊島区|前歯だけの部分矯正専門クリニック。治療実績8,000件以上の部分矯正認定医が、すきっ歯・出っ歯・八重歯・ガタガタを最短3ヶ月で整えます。高度な技術で短期間に理想の歯並びを実現。痛みが少なく、通院回数も少ないので大人の方に選ばれています。
部分矯正を検討中の方は、実績豊富な当院にお任せください。
- 矯正装置1本3.5万円
- 通院毎の調整料0円
- 院内分割:手数料0円
- 目立たないワイヤー矯正
【2回目以降のご予約について】
当院では、2回目以降のご予約専用ダイヤルを
ご用意しております ▼
お電話が繋がらない場合はこちら ▼



